国产情侣激情av|亚欧一区美女福利|牛牛午夜福利在线|丁香花激情五月天

MinFound
  • Enlighten Future with Precision Imaging

ScintCare PET/CT 730T

ScintCare PET/CT 730T

概述

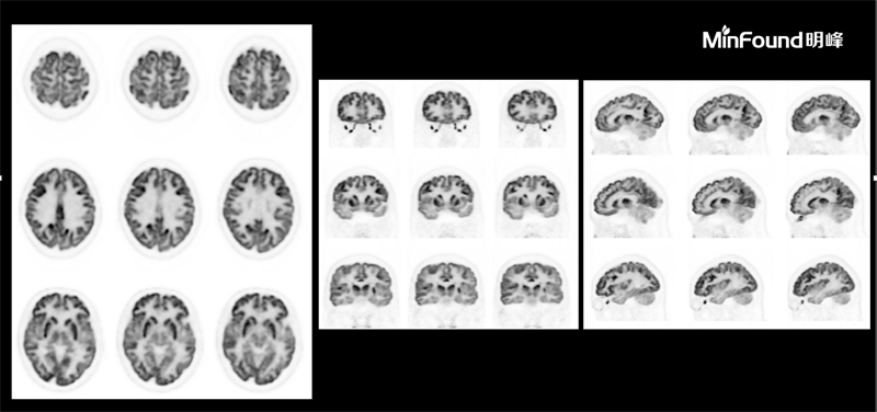
ScintCare PET/CT 730T employs a 4th-generation PET detector where lutetium-yttrium oxyorthosilicate (LYSO) crystals are individually coupled to SiPM detectors without the optical conductor (1: 1 coupling and 100% coverage). The digital SiPM detector considerably minimizes photon loss, resulting in improved time resolution (380 ps), system sensitivity (23.5 cps / kBq), and image uniformity, ultimately resulting in high-resolution images under well-curated radiation dose control.
ScintCare PET/CT 730T axial FOV reaches 40.3 cm width, enabling the whole-organ scan just by one-bed position and the whole-body scan by two-bed positions in about 3 minutes time. The ultra-fast data acquisition greatly supports the large patient throughput.


Respiratory gated PET/CTaims to eliminate the effects of motion artefact and provide a more accurate interpretation of pulmonary nodules and lymphadenopathy.

MinFound's digital gating technology is implemented directly, and can be set in the exam application. This technology not only saves additional preparation time, but also reduces overall examination duration.


Facilitates to operational efficiency
Helps minimize regularity of manual calibration setup
Reduces exposure to radiation sources during quality control
 Rationalizes complicated quality control routine

8 MHU X-ray tube

40 mm detector coverage

0.39 s rotation speed

1024 x 1024 recon matrx

0.25 spatial resolution

ScintCare PET/CT 730T

特點(diǎn)與優(yōu)勢

臨床畫廊

聯(lián)系我們